Библиотека работ

Комплексное ортодонтическое и ортопедическое лечение.
Пациентка обратилась в нашу клинику с жалобами на неудовлетворительную эстетику фронтальной группы зубов, отсутствие бокового резца на верхней челюсти слева. После всестороннего обсуждения было принято решение ортодонтического перемещения центрального резца и клыка на верхней челюсти слева, затем установка имплантата в области отсутствующего бокового резца и восстановление эстетики передних зубов с помощью ультратонких виниров.
Врач: Кодылев Андрей Геннадьевич/ Техник: Шеховцов Александр

Восстановление фронтальных зубов с помощью керамических виниров.
Пациент обратился в клинику с намерением восстановить верхние фронтальные зубы (до клыков), которые из за многочисленных старых пломб и спортивной травмы стали некрасивыми. Нами было принято решение восстановить эстетику с помощью керамических виниров. В результате пациент остался очень доволен работой - восстановленные зубы смотрятся прекрасно и при этом совершенно естественно.
Врач: Нежинский Олег Вячеславович/ Техник: Пирогова Анна

Эстетическое протезирование (коронки + виниры). Безметалловая керамика.
В нашу клинику обратилась девушка с желанием улучшить свою улыбку - ей хотелось чтобы форма зубов была более округлой, мягче и женственнее, цвет зубов - белее. Работа велась по стандартному протоколу: с помощью цифрового дизайна определились с формой будущих реставраций, на временных коронках отработали нюансы, изготовили и зафиксировали постоянные коронки и виниры из IPS е.мах керамики на все зубы верхней и нижней челюстей.
Врач: Кодылев Андрей Геннадьевич/ Техник: Шеховцов Александр

Ультранотнкие виниры без обточки зубов. Мгновенное преображение.
У пациентки врожденные треммы и диастемы (межзубные щели), а также стираемость эмали. Просьба с её стороны была восстановить эстетику улыбки без обточки зубов. Мы выполнили цифровой дизайн улыбки, провели диагностику на модели, и сделали временные виниры из композитного материала с целью тестирования формы будущих зубов. После нескольких дней ношения временных реставраций пациентка сообщила что ей нравится форма новой улыбки, ей очень комфортно. Мы изготовили постоянные виниры и зафиксировали их.
Врач: Кодылев Андрей Геннадьевич/ Техник: Шеховцов Александр

Эстетическое протезирование.
Безметалловая керамика IPS e-max.
Врач: Нежинский Олег Вячеславович /
Техник: Анна Пирогова
Техник: Анна Пирогова

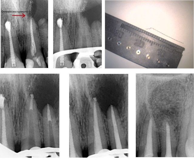
Одновизитная эндодонтия. Лечение кисты с помощью микроскопа за 1 посещение и удаление отломка инструмента.
Пациент испытывал боль в области передних верхних зубов и до того, как обратиться к нам, посетил несколько клиник, где ему констатировали большую кисту в области двух передних верхних зубов и рекомендовали эти два зуба удалить вместе с кистой. Мы диагностировали наличие отломка инструмента в канале зуба, уходящего за верхушку корня и большую кисту в области двух верхних передних зубов. С помощью микроскопа был извлечен отломок инструмента, как видно на снимках, отломок был 2 сантиметра в длинну и уходил в полость кисты. Верхушки каналов были закрыты MTA-ProRoot. В этот же день была проведена хирургическая манипуляция (в связи с огромным размером кисты: 13 х 15 мм) с удалением кисты и заполнением полости специальным биосвоместимым материалом — OsteoBiol. В результате пациенту были сохранены зубы, приведены в порядок каналы и полностью вылечена область, где была киста.
Врач терапевт: Свирко Елена Вячеславовна / Врач хирург: Рыков Дмитрий Валерианович
